
לעיתים אנחנו רואים פצע קטן ולא מבינים למה זה לא מחלים. אבל הפתח הקטן הזה הוא כמו חור מנעול שמסתיר עולם ומלואו מאחוריו שמספר סיפור מאוד נפוץ אצל חולים עם כף רגל סוכרתית.
הפצע בתמונה למעלה שייך לאישה מאוד נחמדה, בת 59, סוכרתית ומאוד פעילה. זהו פצע שכבר הופיע לראשונה כשנה לפני שראיתי אותה. הוא הספיק כבר להיסגר ולהיפתח מחדש פעמיים.
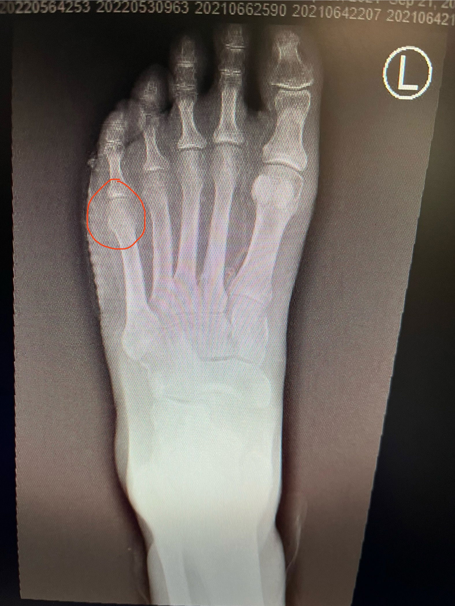
זהו פצע קלאסי שיושב מתחת לראש עצם המסרק (מסומן בעיגול אדום למטה)

הפצע נוצר כתוצאה מלחץ של העצם כנגד הקרקע שגורם לפגיעה ברקמה הרכה ולבסוף פצע. זו גם הסיבה שלמרות שהפצע החלים בעבר, הוא נפתח מחדש.
בבדיקה, הקוטר של הפצע אמנם היה קטן, אבל הוא הלך עמוק עד לעצם. מחקרים רבים הראו שברגע שיש בדיקה חיובית של נגיעה בעצם (positive probe to bone test) הסיכוי לזיהום בעצם הוא מאוד גבוה. מבחינתי, כשאני רואה פצע כזה, זה כמו פצצה מתקתקת שיכולה להתלקח בכל רגע ולהסתיים בזיהום רציני וכריתה של האצבע ואפילו יותר.
הדרך היחידה כדי לטפל בבעיה זו הורדת הלחץ מכיוון העצם. ישנם שני אופציות ניתוחיות: 1) חיתוך של ראש המסרק והוצאה שלו. 2) גישה זעיר פולשנית.
1) חיתוך של ראש המסרק והוצאה שלו - זוהי הייתה השיטה היותר מקובלת עד לפני כמה שנים. ברגע שמוציאים את הסיבה ללחץ ולפצע, פותרים את הבעיה והפצע נסגר. אבל ישנם 2 בעיות עיקריות עם הגישה הזאת:
- החיתוך הניתוחי הוא יחסית גדול (כ-5 ס״מ), מה שמגביר את הסיכון לסיבוכי פצע.
- ברגע שמורידים את הלחץ מראש המסרק, הלחץ יעבור לראש המסרק שליד, במקרה שלנו מסרק 4 ויגדיל את הסיכוי לפתח פצע חדש באיזור זה.
2) גישה זעיר פולשנית (Minimally invasive floating metatarsal osteotomy) - בגישה הזאת החתך הניתוחי הוא פחות מ1 ס״מ. יוצרים ״שבר״ בצוואר המסרק ונותנים לו ״לצוף״ למעלה כדי להוריד מהלחץ ולסגור את הפצע. מכיוון שהמטופלת היא סכרתית ויש לה נורפטיה (חוסר תחושה עצבית), היא לא תרגיש כאב מה״שבר״ ואין חשש לגבי אם השבר יתאחה או לא.
- מכיוון שהחתך הניתוחי מאוד קטן, זמן ההחלמה הוא מינימלי והמטופל יכול לדרוך וללכת כבר ביום הניתוח.
כמובן שבחרנו בגישה הזעיר פולשנית. בצילום אפשר לראות איפה היה החיתוך של העצם. בנוסף, ניתן לראות כיצד חלק מהעצם כבר ״נאכלה״ על ידי הזיהום. ברגע שהעצם נחתכה והפצע החלים, הסיכוי שהזיהום יתפשט ויחמיר הוא מאוד נמוך.

בצילום שלמטה אפשר לראות מהצד איך העצם עולה למעלה ולמעשה מורידה את הלחץ על מנת לתת לפצע להחלים.

לאחר כ 6 שבועות הפצע החלים לחלוטין והיא חזרה לפעילות מלאה:


לסיכום:
גם פצע שלא נראה משמעותי יכול להתפתח לאירוע הרבה יותר רציני. כיום יש טכניקות ושיטות לריפוי פצעים שלא היו קיימים בעבר. הדבר הכי חשוב בריפוי של פצע זה לדעת מה הסיבה לכך. זה יכול להיות לחץ של העצם, סכרת לא מאוזנת, עישון, זרימת דם לא טובה, מערכת חיסון מוחלשת ועוד. רק אחרי שרואים את כל התמונה, אפשר אז להחליט על דרך הטיפול. כל פצע הוא שונה ועל כן כל טיפול הוא שונה.